حدیث روز
امام علی (ع) می‌فرماید: هر کس از خود بدگویی و انتقاد کند، خود را اصلاح کرده و هر کس خودستایی نماید٬ پس به تحقیق خویش را تباه نموده است.

شنبه, ۱۵ آذر , ۱۴۰۴ Saturday, 6 December , 2025 ساعت تعداد کل نوشته ها : 3817 تعداد نوشته های امروز : 470 تعداد اعضا : 1 تعداد دیدگاهها : 3×
شهامت و شجاعت براي رفتن به داخل قلب
1404-09-11 ساعت: ۱۳:۲۷
شناسه : 2089
بازدید 0
0

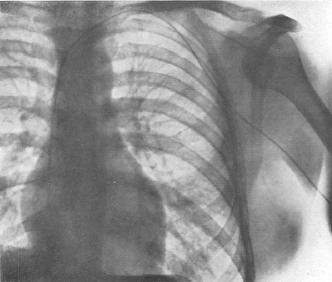
سرآغاز مطالعه تهاجمي داخل قلب و عروق يا همان آنژيوگرافي و كاتتريزاسيون قلب٬ ريشه در شهامت و شجاعت يك پزشك جوان آلماني دارد.

ارسال توسط :
پ
پ

سرآغاز مطالعه تهاجمي داخل قلب و عروق يا همان آنژيوگرافي و كاتتريزاسيون قلب٬ ريشه در شهامت و شجاعت يك پزشك جوان آلماني دارد.

ثبت دیدگاه

  • دیدگاه های ارسال شده توسط شما، پس از تایید توسط تیم مدیریت در وب منتشر خواهد شد.
  • پیام هایی که حاوی تهمت یا افترا باشد منتشر نخواهد شد.
  • پیام هایی که به غیر از زبان فارسی یا غیر مرتبط باشد منتشر نخواهد شد.